For your convenience we offer Virtual Consultations!

How It Works

Submit your information below, and we will contact you as soon as possible with next steps.

Please include your six photos matching what you see below. You can use two tablespoons to assist in retracting your cheeks. Hold your phone or camera horizontally and get as close as you can to your teeth while still showing the whole mouth. The more detail and clarity the better.

We look forward to helping you!

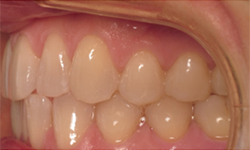
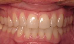
  • Front teeth biting down

  • Right back teeth biting down

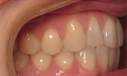
  • Left back teeth biting down

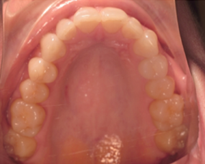
  • Top teeth

  • Bottom teeth

  • Front teeth slightly open

Virtual Smile Assessment Step 1

Please check that all fields are complete and the age verification box is checked before moving on.

Virtual Smile Assessment Step 2

Do you have dental insurance?

If you are not sure, leave blank

Have you had braces before?

If you are not sure, leave blank

Treatment Preference

Ex. Braces, Invisalign, etc.

What would you like changed about your smile

Ex. Crowding, Spacing, etc.

Dentist

Preferred Office

Virtual Smile Assessment Step 3

Upload Your Photos

All photos should be taken sitting in a seated position. You will need a friend or family member to serve as your photographer as its difficult to try and take each of the photos below by yourself.

Images must be a .jpg, .jpeg, .png, or .gif and cannot exceed 20MB.

Photo 1

Front teeth biting down

Photo 2

Right back teeth biting down

Photo 3

Left back teeth biting down

Photo 4

Top teeth

Photo 5

Bottom teeth

Photo 6

Front teeth slightly open

To use the virtual consultation option you must be 18 years old or older.

VERY IMPORTANT! PLEASE READ!

When we send you an email, or you send us an email, the information that is sent is not encrypted. This means a third party may be able to access the information and read it since it is transmitted over the Internet. In addition, once the email is received by you, someone may be able to access your email account and read it.

  • HIPAA stands for the Health Insurance Portability and Accountability Act
  • HIPAA was passed by the U.S. government in 1996 in order to establish privacy and security protections for health information
  • Information stored on our computers is encrypted.
  • Most popular email services (ex. Hotmail���, Gmail���, Yahoo���) do not utilize encrypted email.
  • When we send you an email, or you send us an email, the information that is sent is not encrypted. This means a third party may be able to access the information and read it since it is transmitted over the Internet. In addition, once the email is received by you, someone may be able to access your email account and read it.
  • Email is a very popular and convenient way to communicate for a lot of people, so in their latest modification to the HIPAA act, the federal government provided guidance on email and HIPAA.
  • The guidelines state that if a patient has been made aware of the risks of unencrypted email, and that same patient provides consent to receive health information via email, then a health entity may send that patient personal medical information via unencrypted email.

By sending a request for virtual consultation with email you are accepting the terms and conditions of utilizing non-encrypted email to communicate health information.

Virtual Consultation